Composite Bonding Birmingham
- Convenient Location
- Flexible Appointments
- Digital Technology
- Payment Plans
- 0% Finance Available
Composite Bonding
TRANSFORM YOUR SMILE IN ONE TREATMENT
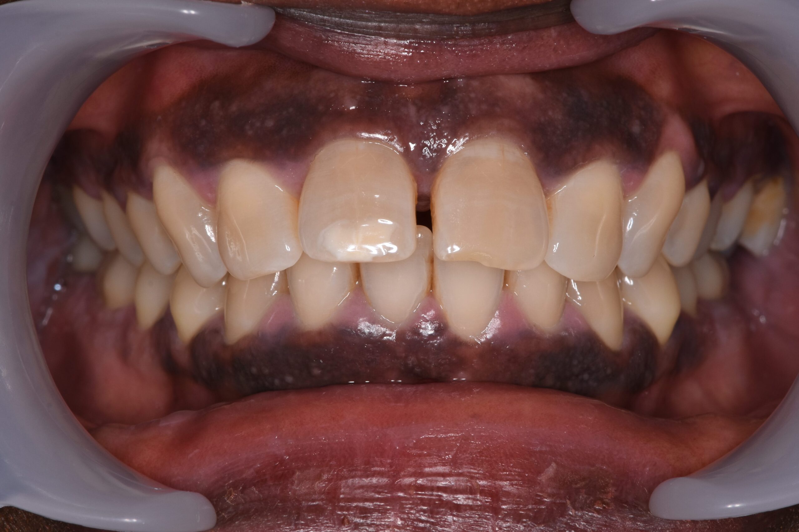
Composite bonding is a cosmetic dental treatment used to improve the appearance of teeth that are chipped, discoloured, uneven, or have small gaps. It involves applying a tooth-coloured resin material to the surface of the tooth, which is then shaped, hardened with a special light, and polished to match the natural teeth.
This treatment is minimally invasive, often requires no drilling or anaesthetic, and can usually be completed in a single visit. Composite bonding is an excellent option for those looking to enhance their smile quickly and affordably, without the need for more extensive procedures such as veneers or crowns.
Consultation and Assessment
Your dentist will begin with a thorough consultation to assess your teeth and discuss your goals. They’ll determine whether composite bonding is suitable for you and may take photographs or shade-match the bonding material to your natural teeth.
Tooth Preparation
In most cases, little to no drilling is required. The surface of the tooth is lightly roughened and a conditioning liquid is applied to help the bonding material adhere properly.
Application of Composite Resin
A tooth-coloured composite resin is carefully applied to the prepared area. Your dentist will sculpt and shape the material to achieve a natural and symmetrical appearance, improving the size, shape, or colour of the tooth.
Hardening and Polishing
Once the desired shape is achieved, the resin is hardened using a special curing light. The bonded tooth is then polished to match the shine and texture of your surrounding teeth, giving a smooth and natural finish.
Final Checks and Aftercare Advice
The dentist will make any final adjustments and provide advice on how to care for your bonded teeth. Regular brushing, flossing, and avoiding staining foods or biting hard objects will help maintain your new smile.
Why Choose Us
Expert Care for Lasting Dental Health
Accessible Location
Easily reachable clinic with ample parking.
Flexible Scheduling
Appointments available to suit your busy lifestyle.
Specialist Endodontist
Treatment performed by a specialist with advanced training in root canal procedures.
Finance Options Available
Affordable payment plans, including 0% finance options.
Benefit of Composite Bonding
Minimally Invasive
Composite bonding typically requires little to no removal of the natural tooth structure, making it a conservative treatment option.
Quick and Convenient
The procedure is usually completed in a single visit, with immediate results — perfect for those looking for a fast smile enhancement.
Natural Appearance
The composite resin is colour-matched to your natural teeth, resulting in a seamless and natural-looking finish.
Reversible
Since there is little to no alteration of the original tooth, the procedure is generally reversible, allowing for future treatment options if needed.
Frequently Asked Questions
What is composite bonding?
Composite bonding is a cosmetic dental treatment where a tooth-coloured resin is applied to your teeth to improve their shape, size, or colour. It’s often used to repair chipped, uneven, or discoloured teeth and can also close small gaps.
Is composite bonding painful?
No, the procedure is usually painless and often doesn’t require any drilling or anaesthetic. Most patients find it a comfortable and straightforward treatment.
How long does composite bonding take?
In most cases, composite bonding can be completed in a single visit. The time needed depends on how many teeth are being treated, but typically each tooth takes 30 to 60 minutes.
How long does composite bonding last?
With proper care, composite bonding can last several years—typically between 3 to 7 years. Regular dental check-ups and good oral hygiene will help prolong its life.
Can I eat and drink normally after bonding?
Yes, but it’s best to avoid hard foods, nail biting, and staining substances like red wine, tea, and coffee—especially in the first 48 hours. Your dentist will give you full aftercare advice.
See the Smiles We’ve Transformed




WE OFFER THE BEST FOR YOU
If you are looking for a calm comfortable and stress-free dental experience then we are the practice for you. At Sunna Dental, we offer a range of different treatments all under one roof.
HUGE SAVINGS Over £1000
- Affordable treatments at competitive prices.
- ENJOY 0% FINANCE
Book your consultation with SUNNA DENTAL BIRMINGHAM
Book your consultation with a Sunna Dentist in Birmingham today and take the first step towards exceptional dental care. Our expert team is here to provide personalised treatments in a comfortable and professional environment.
What Our Patients Say
From life-changing results to compassionate care, our patients aren’t just happy — they’re genuinely transformed. Hear how Sunna Dental has helped them rediscover their confidence, one smile at a time.
We appreciate their willingness to go over and beyond our requirements.
Masha’Allah an amazing practice with amazing services. The politeness, kindness, understanding and level of quality is next to none, all the staff are very welcoming making the experience feel very pleasant , not rushed and personalised. A big shout out to brother Ahmed, a one in a million and amazing brother, so glad I’ve met him and hopefully my dentist for life, jazakAllahu khairun.
Riasat Ali
Patient
Just got my implants done at Sunna Dental and I honestly feel amazing!
Mahnoor Saparas
Patient
Do you have a question, let us help you
- Opening Hours
Monday to Friday
10am to 5pm
Saturday
10am to 1pm
Sunday
Closed